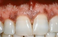
اللون الطبيعي لخلايا اللثة هو الزهري الفاتح او يميل الى الحمرة قليلا,اماالتصبغات اللثوية هي عبارة عن زيادة في صبغة الميلانين والكاروتين في خلايا اللثة المحيطة للأسنان العلوية والسفلية او احداهم, ممى يجعل لون اللثة غير طبيعي ومنظرها غير مقبول لدى البعض من الناس, حيث تكون على شكل بقع بنية غامقة اللون او فاتحة,وتكون على اللثة بأكملهااو بمناطق معينة منها.
بعض الناس تكون هذة الحالة واضحة عند ابتسامتهم وتكون غير لائقة للبعض وخصوصا عند الأبتسامة أو الضحك, لذلك هناك عدة طرق لتفتيح هذة البقع وازالتها وتحويل لون اللثة الغامق للون للطبيعي, منها:
* تقشير أو حك اللثة, حيت تتم هذة الطريقة بعد تخدير اللثة بقشط الطبقة السطحية من اللثة بمقدار نصف ملي تقريبا عن طريق المشرط الطبي أو بأدوات التقشير الكرستالي.
* الغاز الثلجي, أداة تعمل على تثليج اللثة لفترة بسيطة .
* الليزر, احدث طريقة لتفتيح لون اللثة . وهي طريق لاتحدث اي مضاعفات بعد العلاج.
رغم نجاح جميع الطرق العلاجية لتفتيح لثة الأسنان الا ان مدة اختفاء هذة التصبغات لاتبقى للابد,وتعود يوما ما ولاكن بنسبة اخف.
دمتم سالمين
المصدر : drmedo88
¨°o.O ( على كف القدر نمشي ولا ندري عن المكتوب ) O.o°¨
---
أتمنى لكم إقامة طيبة في الساحة العمانية
---
أتمنى لكم إقامة طيبة في الساحة العمانية
وأدعوكم للإستفادة بمقالات متقدمة في مجال التقنية والأمن الإلكتروني
رابط مباشر للمقالات هنا. ومن لديه الرغبة بتعلم البرمجة بلغات مختلفة أعرض لكم بعض
المشاريع التي برمجتها مفتوحة المصدر ومجانا للجميع من هنا. تجدون أيضا بعض البرامج المجانية التي قمت بتطويرها بذات الموقع ..
والكثير من أسرار التقنية في عالمي الثاني Eagle Eye Digital Solutions
رابط مباشر للمقالات هنا. ومن لديه الرغبة بتعلم البرمجة بلغات مختلفة أعرض لكم بعض
المشاريع التي برمجتها مفتوحة المصدر ومجانا للجميع من هنا. تجدون أيضا بعض البرامج المجانية التي قمت بتطويرها بذات الموقع ..
والكثير من أسرار التقنية في عالمي الثاني Eagle Eye Digital Solutions






